Segmentation d’images à rayons X
Le client
Chirosoft, un développeur de logiciels dédiés à la gestion de cliniques chiropratiques, cherche à enrichir son offre avec des outils d’aide au diagnostic et au traitement chiropratique.
Le problème
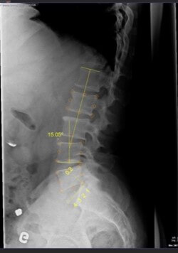
L’entreprise aspirait à intégrer dans son logiciel un outil capable de segmenter automatiquement les vertèbres sur des images à rayons X, facilitant ainsi le travail des chiropraticiens dans l’analyse et l’interprétation des clichés radiographiques.
La solution
Le CIMMI a conçu une librairie logicielle utilisant une technique de modèles déformables pour la segmentation précise des vertèbres. Cette solution innovante inclut un mécanisme d’alignement basé sur des modèles spécifiques à chaque vertèbre. L’utilisateur lance le processus en sélectionnant grossièrement une vertèbre sur l’image, après quoi l’algorithme affine la segmentation pour délimiter exactement le contour de la vertèbre ciblée.
